Êtes-vous sûr de bien vous brosser les dents ? Un bon brossage permet de conserver des dents et des gencives saines à tout âge.
Conseils - Page 2
Le brossage seul n’élimine que 50% de la plaque dentaire. Il est donc nécessaire de compléter son action par des brossettes ou du fil dentaire.
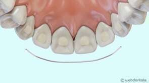
L’orthodontie consiste à déplacer les dents afin de retrouver un alignement dentaire harmonieux et d’améliorer les fonctions orales.
Un traitement orthodontique permet d’obtenir un sourire harmonieux. Mais avoir un beau sourire n’est qu’un des nombreux avantages de l’orthodontie.
Orthodontie enfants : pour un traitement court et efficace, il est important d’intervenir au bon moment, ni trop tôt, ni trop tard !
Différents appareillages peuvent être utilisés pour déplacer les dents. Le choix technique dépend du mouvement dentaire à réaliser.











