Cabinet Dentaire du Dr Michèle NATHAN
Pratique limitée à l'Orthodontie à Montreuil
Cabinet Dentaire du Dr Michèle NATHAN
Pratique limitée à l'Orthodontie à Montreuil

Cas cliniques - Orthodontie

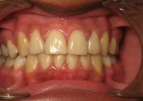
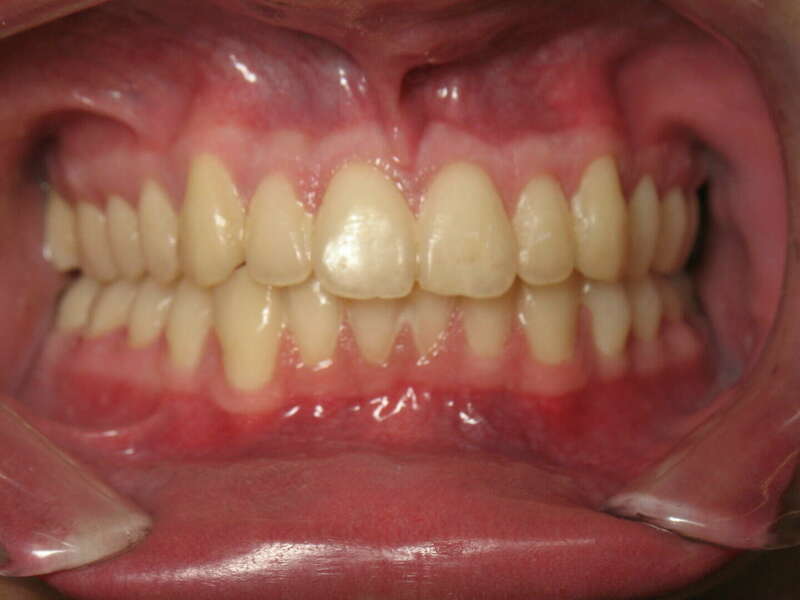
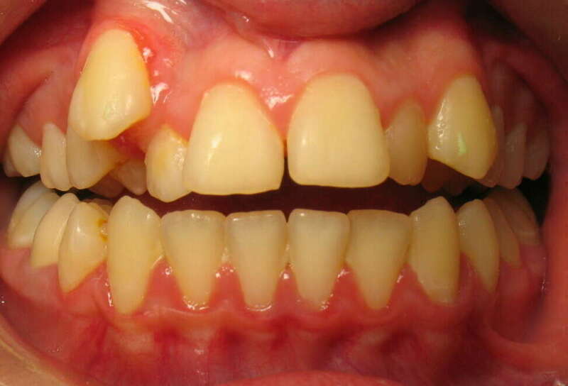
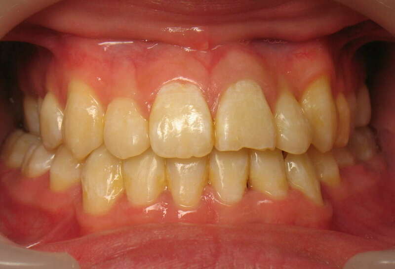
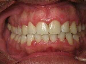
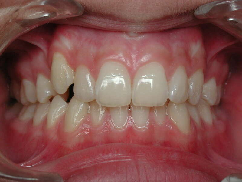
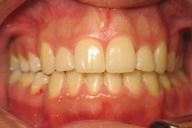
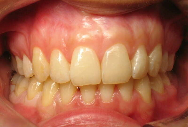
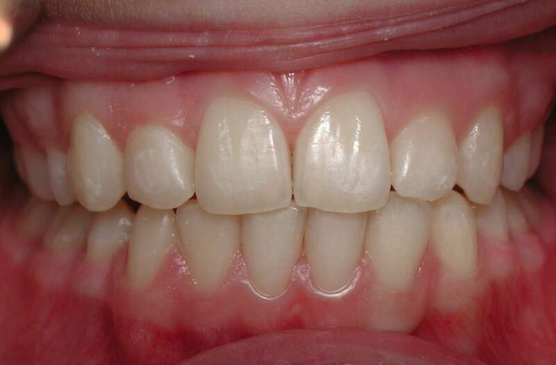
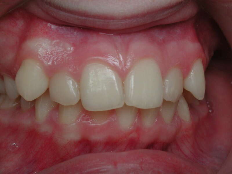
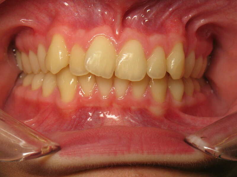
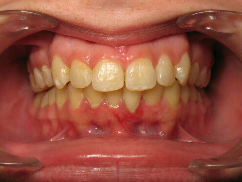
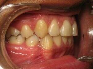
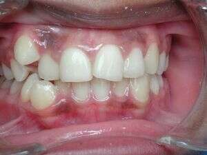
Encombrement dentaire et extraction de 4 prémolaires

Avant
Après
Avant
Après
Avant
Après

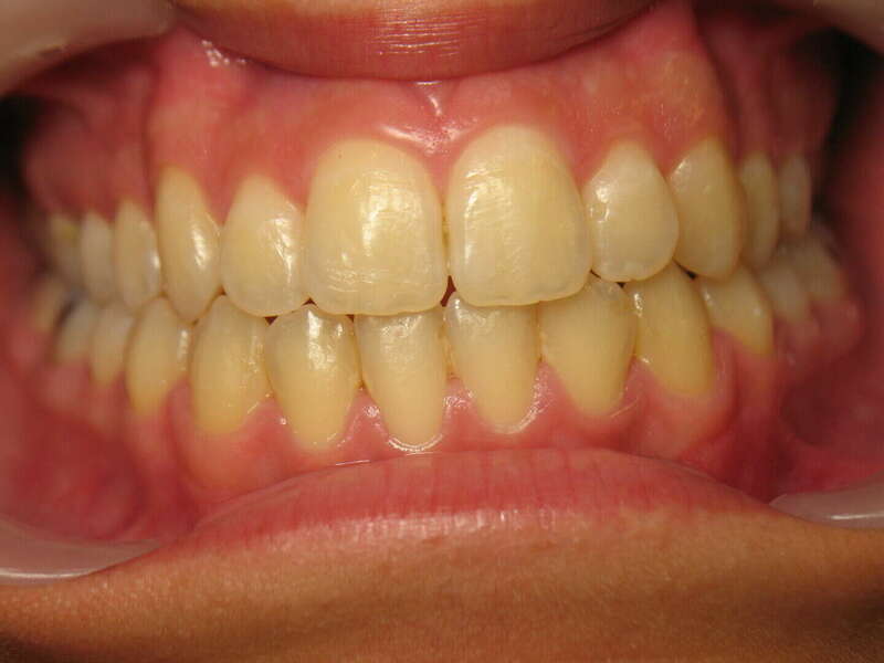
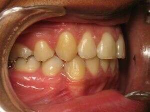
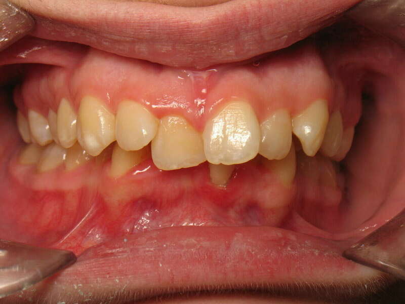
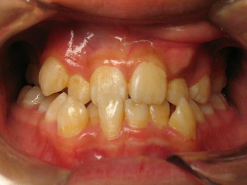
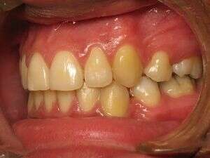
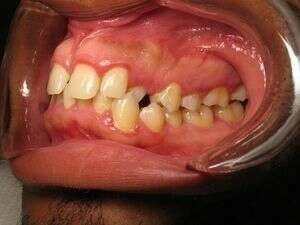
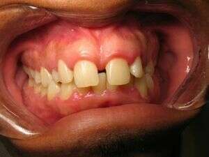
Recouvrement antérieur excessif et dents incluses du côté droit

Avant
Après
Avant
Après
Avant
Après

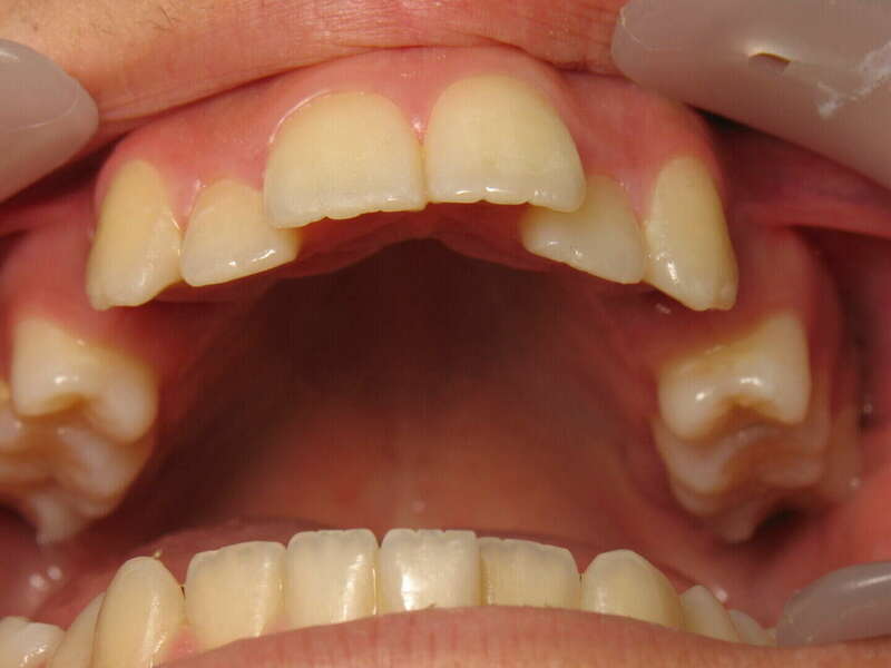
Alignement dentaire

Avant
Après

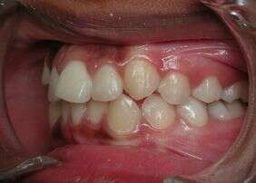
Béance et redressement dentaire

Avant
Après

Extractions dentaires et alignement

Avant
Après

Nivellement dentaire

Avant
Après

Prognathie mandibule

Avant
Après

Redressement dentaire

Avant
Après

Béance

Avant
Après

Encombrement et Recouvrement

Avant
Après

Encombrement

Avant
Après

Création par Webdentiste

Connexion