Cabinet Dentaire du Dr Michèle NATHAN
Pratique limitée à l'Orthodontie à Montreuil
Cabinet Dentaire du Dr Michèle NATHAN
Pratique limitée à l'Orthodontie à Montreuil

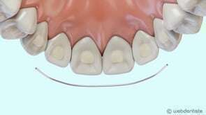
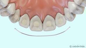
Fil de contention


video-play-icon

Articles similaires

Création par Webdentiste

Connexion